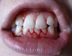
Diş eti kanaması neden olur?
Diş eti kanamaları dişlerin kayıplarına kadar gidebilen, iltihaplı diş etlerinin de yaşanan sorunlardır. Meydana gelen kanamalar dişlerde ve diş etlerinde olan sorunların habercisi olarak kabul edilmelidir. Ayrıca kanamalar sistematik hastalıkların öncüsü olabilir. Ağız içinde tükürüğün yok edemediği bakteri plağının, dişlerde diş taşlarına neden olması sebebiyle meydana gelen kanamalar, diş kayıplarına kadar giden çok önemli bir rahatsızlıktır. Bakterilerin dişlere yapışması, diş yüzeyinin hava almaması ve zamanla dişlerde kireçlenmeye neden olması, ağızda iltihapları ve diş taşı oluşumunu hızlandırır. Bu yüzden ortaya çıkan diş eti iltihapları mutlaka tedavi edilmelidir.
Diş eti kanamasının nedenleri nedir?

- Gingivitis: Diş eti hastalıkları içinde en hafif görülen şeklidir. Bu aşamada hastalarda rahatsızlık düşük seviyededir. Ağız ve diş temizliğine gereken özenin gösterilmediği durumlarda yaşanan bir rahatsızlıktır. Dişlerde birikmiş besin artıkları bakteri oluşumunu hızlandırıp gingivitis oluşumuna zemin hazırlar. Ağız sağlığına dikkat edilirse rahatsızlık kendiliğinden düzelecektir.
- Periodontitis: Gingivitis tedavi edilmezse dişlerde ilerleyip kemikleri etkilemeye başlar. Diş plağı ise diş etlerinin arka bölümünde gelişme gösterir. Bakteriler diş etleriyle beraber dokuları etkilemeye başlar. Bu aşamada diş etlerinde olan iltihaplanma periodontitis adını alır. Bu durum agresif ve kronik olarak ayrılır. Tedavi edilmediği durumlarda diş kayıplarına yol açar.
- Genetik yatkınlık: Bu hastalığı yaşayan kişilerin %30 unun ailesinde bu sorunları yaşayan kişiler bulunmaktadır. Bu kişiler dişeti uzmanından destek almalıdır.
- Sigara kullanımı: Birçok hastalığın altında yatan sebep olan sigara, diş etlerini yumuşatıp, dişeti hastalıklarının gelişimine zemin hazırlar. Doku hasarına sebep olduğundan, tedavi sırasında bu yaraların iyileşmesi gecikmektedir.
- Stres: Vücudun enfeksiyonlara karşı korunmasız hale getiren stres, diş eti hastalıklarının oluşmasına neden olur. Diş gıcırdatma ve dişleri sıkmaya sebep olduğundan dişler ve dişeti arasında kuvvet azalmasına neden olur. Diş etlerinde olan çekilmenin başlıca nedeni dişlerin sıkılmasıdır.
- Kötü beslenme ve obezite: Vücudun bağışıklık sistemini güçlendirmek için, gıdalara dikkat edilmezse hastalıklara karşı savunmasız kalmak kaçınılmaz olacaktır. Enfeksiyonların oluşumunu hızlandıran beslenme alışkanlığı ve aşırı kilo kontrol altına alınmalıdır.
- Vitamin eksiklikleri: K, C, B12 vitaminleri, folik asit ve niyasin eksiklikleri diş etinde kanamanın dışında burun kanamasına, ishal ve halsizlik gibi şikayetlere de neden olur.
- Sert yapılan diş fırçalama: Dişleri sert bir şekilde fırçalamak, dokuların zedelenmesine ve kanamalara sebep olur.
- Gebelik dönemindeki hormonlar: Bu dönemde kan akışının daha hızlı olduğu dişlerde şişme ve kanama görülebilir. Bakteri oluşumu hızlandıran diş eti kanamalarına neden olan hormonlar, hamileliğin ikinci döneminde daha etkilidir.
- Yanlış ve kalitesiz yapılan diş protezleri: Diş etlerine baskı yapacak dolgu, protez gibi yapılar kanama sebepleri arasındadır.
- Lösemi, ıskorbüt, diabet rahatsızlıkları: Bu hastalıklar kanama eğilimini arttırdığından, enfeksiyonlara neden olabilir. Hastaların diş eti uzmanına düzenli olarak gitmesi ve kontrollerini ihmal etmemesi gerekir.
- İlaç kullanımı: Kan incelten, anti-depresan ilaç kullanan, kalp ilaçları ve doğum kontrol hapları kullanan kişiler ağız sağlığına daha fazla önem vermelidir.
Diş eti kanaması nasıl önlenir?
İnsanlar 6 ayda bir diş hekimine gidip, bakteri plaklarını temizletmeli ve evde ağız bakımına önem göstermelidir. Her öğünden sonra yumuşak diş fırçasıyla dişlerini fırçalamalı, gerekiyorsa diş ipi kullanılmalıdır. Doktorun önerisiyle hidrojen peroksit veya tuzlu su ile gargara yapılmalı, fırçalama sonrasında ağzı durulanmalıdır. Alkol içeriği olan gargaraların kullanımından kaçınılmalıdır.
